Wichtiger Sicherheitshinweis:
Pathorama wurde zwischen dem
26. und 27. Dezember 2025
angegriffen. Falls Sie die Website in diesem Zeitraum besucht haben, lesen Sie bitte die wichtigen Informationen hier:
Zur Information
Pathopic
HiPaKu
ZyPaKu
Projektinfos
PathoPic - Projekt- und Copyright-Info
About
Pathopic
HiPaKu
ZyPaKu
PathoPic – image database
/
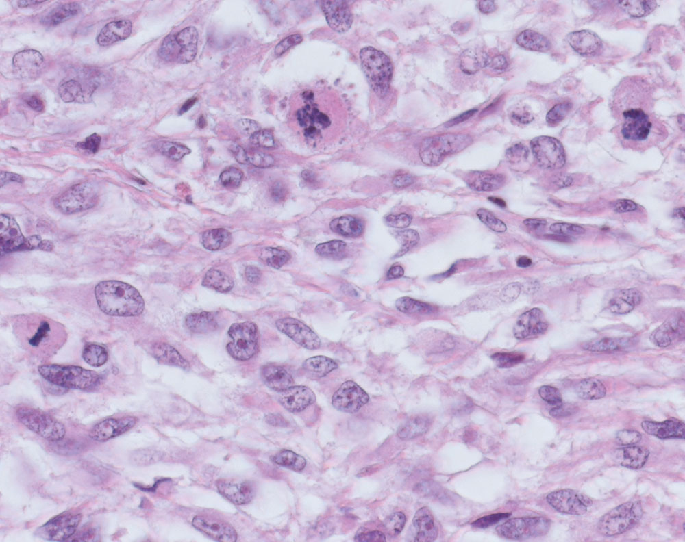
PathoPic ID 10242 - Uterines Leiomyosarkom
de
Diagnose
Uterines Leiomyosarkom
Diagnose Gruppe
maligner Tumor
Topographie
Uterus
Topographie Gruppe
Genitalorgane, weiblich
Beschreibung
Spindelförmige pleomorphe Tumorzellen mit reichlich kompaktem eosinophilem Zytoplasma. Drei
Mitosen, eine davon
atypisch.
Zusatzbefund
Durchmesser 16cm. 28 Mitosen/10 HPF. Tumornekrosen >50%. Gefässinvasion.
Klinik
Uterus myomatosus
Bilder Typ
Histologie
Vergrösserung
400
Alter
50
Geschlecht
unbekannt
Datum
Ersteintrag: 23.04.2009
Update: 30.07.2010
CPS
·
©
2025 Institut für Pathologie Basel
/
Dr. med. Katharina Glatz-Krieger
.
·
v2.2