Wichtiger Sicherheitshinweis: Pathorama wurde zwischen dem 26. und 27. Dezember 2025 angegriffen. Falls Sie die Website in diesem Zeitraum besucht haben, lesen Sie bitte die wichtigen Informationen hier:
Zur Information

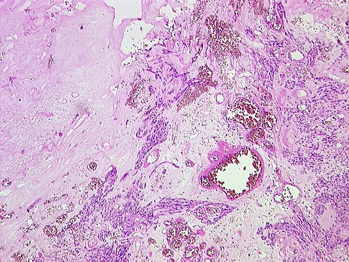
PathoPic – image database / PathoPic ID 1024 - Gastrointestinaler Stromatumor (GIST)

de
Diagnose
Gastrointestinaler Stromatumor (GIST)
Diagnose Gruppe
benigner Tumor
Topographie
Dünndarm
Topographie Gruppe
Darm, Anus
Beschreibung
Spindelzelliger Tumor. Grössere degenerative praktisch zellfreie Sklerosezonen mit grösseren Gefässen und Zystenbildung.
Zusatzbefund
Tumordurchmesser 4.5cm. Aktin und CD 117 positiv. Morphologische Ähnlichkeiten mit einem Leiomyom mit degenerativen Veränderungen (Sklerosierung, Zystenbildung). Kaum Mitosen. Keine Nekrosen.
Klinik
Kein extraintestinaler Tumor.
Bilder Typ
Histologie
Alter
79
Geschlecht
männlich
Datum
Ersteintrag: 28.11.2001