Wichtiger Sicherheitshinweis: Pathorama wurde zwischen dem 26. und 27. Dezember 2025 angegriffen. Falls Sie die Website in diesem Zeitraum besucht haben, lesen Sie bitte die wichtigen Informationen hier:
Zur Information

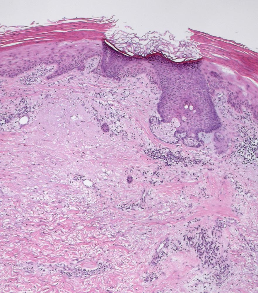
PathoPic – image database / PathoPic ID 10046 - Solare Präkanzerose (Keratose) mit leichter Epitheldysplasie

de
Diagnose
Solare Präkanzerose (Keratose) mit leichter Epitheldysplasie
Diagnose Gruppe
Präneoplasie/ Atypie/ Dignität?
Topographie
Haut, Kopf
Topographie Gruppe
Haut
Beschreibung
Hyper-parakeratotisch verhornende akanthotisch verbreiterte Epidermis und schwere solare Elastose. Das dysplastische Epithel ist deutlich heller und zeigt eine gestörte Ausreifung. Die Keratinozyten haben vergrösserte atypische hyperchromatische Zellkerne. Sehr gut sichtbar ist hier die Aussparung der Hautadnexe. Das Epithel des Haarfollikels zeigt keine Dysplasie und die darüberliegende Epidermis zeigt eine normale korbgeflechtartige Verhornung.
Klinik
Nachexzisat nach Exzision eines atypischen Fibroxanthoms an der Stirn.
Bilder Typ
Histologie
Vergrösserung
25
Alter
67
Geschlecht
männlich
Datum
Ersteintrag: 18.11.2008
Update: 06.05.2009