Wichtiger Sicherheitshinweis: Pathorama wurde zwischen dem 26. und 27. Dezember 2025 angegriffen. Falls Sie die Website in diesem Zeitraum besucht haben, lesen Sie bitte die wichtigen Informationen hier:
Zur Information

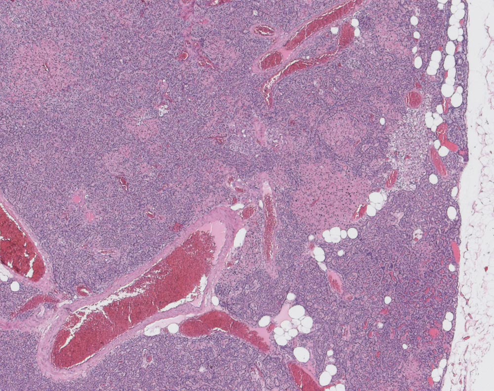
PathoPic – image database / PathoPic ID 10111 - Nebenschilddrüsenadenom

de
Diagnose
Nebenschilddrüsenadenom
Diagnose Gruppe
benigner Tumor
Topographie
Nebenschilddrüse
Topographie Gruppe
Endokrinium
Beschreibung
Das scharf begrenzte Adenom besteht überwiegend aus Hauptzellen und Nestern onkozytärer Zellen. Nur sehr wenig Fettzellen. Reste einer atrophen Nebenschilddrüse sind nicht erkennbar.
Klinik
Primärer Hyperparathyreoidismus.
Kommentar
Rein histologisch ist der Befund nicht von einer Nebenschilddrüsenhyperplasie abgrenzbar. Nur zusammen mit der klinischen Angabe einer einzelnen vergrösserten Nebenschilddrüse und eines primären Hyperparathyreoidisimus lässt sich die Diagnose eines Nebenschilddrüsenadenoms stellen.
Bilder Typ
Histologie
Vergrösserung
25
Alter
30
Geschlecht
unbekannt
Datum
Ersteintrag: 16.12.2008
Update: 12.01.2011