Wichtiger Sicherheitshinweis: Pathorama wurde zwischen dem 26. und 27. Dezember 2025 angegriffen. Falls Sie die Website in diesem Zeitraum besucht haben, lesen Sie bitte die wichtigen Informationen hier:
Zur Information

AP/ Aneurysmatische Knochenzyste (AKZ)

Diagnose
Aneurysmatische Knochenzyste (AKZ)
Diagnose Gruppe
organspezifische Erkrankung
Differenzialdiagnose
  • - Teleangiektatisches Osteosarkom- Solitäre Knochenzyste- Riesenzelltumor
Topographie Gruppe
Knochen, Knorpel, Gelenke
Topographie
Knochen, Rippe
Einleitung
Definition:
Die aneurysmatische Knochenzyste zählt zu den gutartigen tumorartigen Läsionen. Sie ist eine schnellwachsende, lokal aggressive, intramedullär gelegene Läsion, welche zu einer Knochenauftreibung führt. AKZ können primär oder sekundär auftreten (zusammen mit einem Chondroblastom, einem Chondromyxoid Fibrom, einem Riesenzelltumor, einer fibrösen Dysplasie oder einem Osteosarkom (> 2090)).

Lokalisation:
Die AKZ befällt die Metaphysen der Röhrenknochen vor allem der unteren Extremität, die platten Knochen und die Wirbel. Eine abnorme Lage (Epiphyse) kann Hinweis sein auf das Vorliegen einer sekundären AKZ.

Morphologie:
Die AKZ ist charakterisiert durch kavernöse Bluthohlräume mit dazwischengelegenen zellreichen Septen unter Einschluss von Riesenzellen. Da sekundäre AKZ häufig sind, muss das gesamte Material histologisch untersucht werden.
Klinik
Vorkommen:
Die AKZ kann in jedem Alter auftreten. Am häufigsten ist sie aber bei Patienten unter 25 Jahren.

Symptomatik:
Das rasche Wachstum kann einen malignen Knochentumor vortäuschen.

Diagnostik und Therapie:
Radiologisch (> 5034) (> 5036) (> 5035) führt die AKZ zu einer exzentrischen scharf begrenzten gekammerten Osteolyse mit verdünnter vorgewölbter Kortikalis im Bereich der Metaphyse, seltener der Diaphyse. Die Therapie besteht in der Kurettage.

Prognose:
Die einer AKZ zugrundeliegende Läsion bestimmt die weitere Prognose. Rezidive treten in bis zu 30% der Fälle auf.
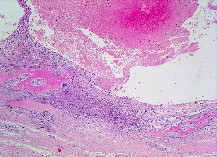
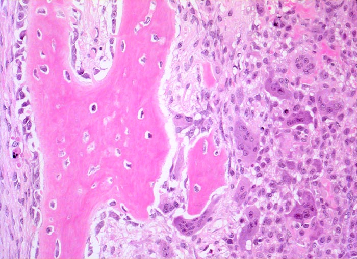
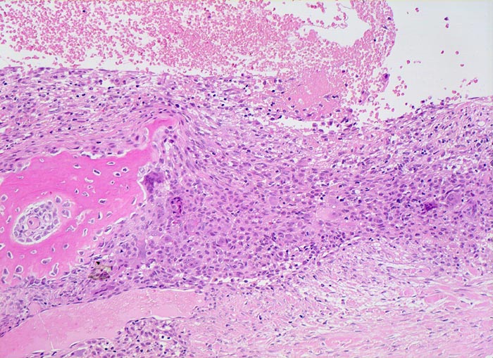
Morphologie
Morphologische Merkmale:
  • Pseudozystische kavernöse Bluthohlräume eingebettet in Skelettmuskulatur.
  • Die bindegewebigen Pseudozystenwände enthalten solide Massen von mononukleären histiozytenartigen Zellen mit eingestreuten mehrkernigen osteoklastären Riesenzellen.
  • Neugebildeter reaktiver Faserknochen mit Osteoblastensaum in der Peripherie der Hohlräume.
Das sollte der Kliniker dem Pathologen mitteilen:
  • Genaue Lokalisation.
  • Dauer der Symptomatik.
  • Radiologischer Befund.
  • Verdacht auf sekundäre AKZ.
Makroskopie
Virtuelles Präparat
Befund
Pathologischer Befund
Normalbefund
Datum
Ersteintrag: 15.03.2019
Update: 15.03.2019