Wichtiger Sicherheitshinweis: Pathorama wurde zwischen dem 26. und 27. Dezember 2025 angegriffen. Falls Sie die Website in diesem Zeitraum besucht haben, lesen Sie bitte die wichtigen Informationen hier:
Zur Information

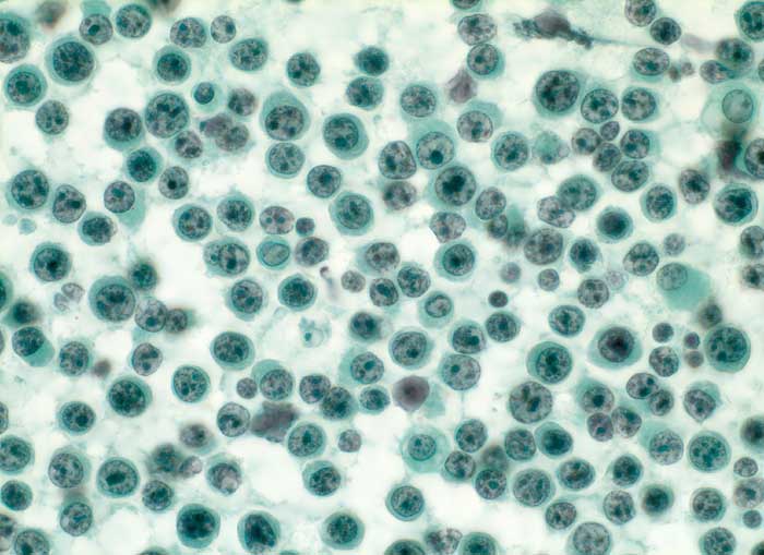
pit/ Multiples Myelom

Diagnose
Multiples Myelom
Diagnose Gruppe
maligner Tumor
Differenzialdiagnose
Topographie Gruppe
Körperhöhlen, Serosa
Topographie
Pleuraerguss Zytologie
Einleitung
Die plasmazelluläre Differenzierung eines wenig differenzierten multiplen Myeloms ist oftmals nur andeutungsweise zu sehen. Bei einem wenig differenzierten lymphoiden Tumor sollte deshalb immer auch an das multiple Myelom gedacht werden, insbesondere wenn die Marker für B-Zell Differenzierung negativ sind.
Klinik
-
Normalbefund
Morphologie
Makroskopie
Virtuelles Präparat
Befund
Pathologischer Befund
Normalbefund
Literatur
Datum
Ersteintrag: 01.04.2003
Update: 01.04.2003