Wichtiger Sicherheitshinweis: Pathorama wurde zwischen dem 26. und 27. Dezember 2025 angegriffen. Falls Sie die Website in diesem Zeitraum besucht haben, lesen Sie bitte die wichtigen Informationen hier:
Zur Information

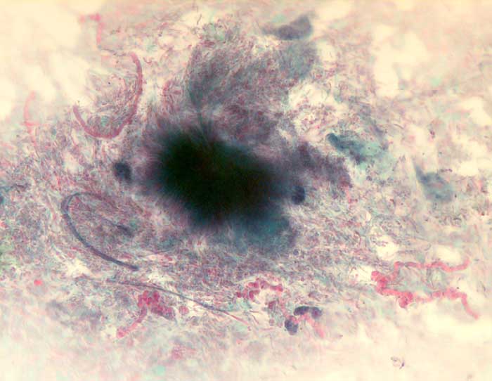
pit/ Reaktive Veränderungen bei Intrauterinpessar

Diagnose
Reaktive Veränderungen bei Intrauterinpessar
Diagnose Gruppe
Entzündung / Reparatur
Differenzialdiagnose
Topographie Gruppe
Mamma
Topographie
Portio
Einleitung
Im Abstrich von Patientinnen, die eine Intrauterinpessar (IUP) zur Kontrazeption tragen, können zu jedem Zeitpunkt des menstruellen Zyklus Endometriumzellen nachgewiesen werden. Ausserdem finden sich oftmals atypische glanduläre Zellen und dies auch noch Monate nach Entfernung des IUP. Es existieren drei Typen von atypischen Zellen, die assoziiert sind mit einem IUP: hypervakuolisierte endozervikale Zellen, vakuolisierte metaplastische Zellen und endometriale Zellen, die einzeln oder in Gruppen gelagert sind. Im Gegensatz zum Adenokarzinom zeigen die reaktiv veränderten Epithelien keine malignen Kerne und keine Tumordiathese. Im Gegensatz zum Carcinoma in situ sind nur wenige atypische Zellen mit blandem Chromatin vorhanden. Bei Patientinnen mit IUP treten ausserdem gehäuft Infektionen mit Aktinomyceten auf. Bei Dysplasien im metaplastischen Epithel und Atypien im Zylinderepithel wird die Entfernung des IUP und eine erneute zytologische Kontrolle nach 3 Monaten empfohlen. Persistierende zytologische Veränderungen sollten histologisch weiter abgeklärt werden.
Klinik
-
Normalbefund
Morphologie
Makroskopie
Virtuelles Präparat
Befund
Pathologischer Befund
Normalbefund
Literatur
Datum
Ersteintrag: 01.04.2003
Update: 01.04.2003