Wichtiger Sicherheitshinweis: Pathorama wurde zwischen dem 26. und 27. Dezember 2025 angegriffen. Falls Sie die Website in diesem Zeitraum besucht haben, lesen Sie bitte die wichtigen Informationen hier:
Zur Information

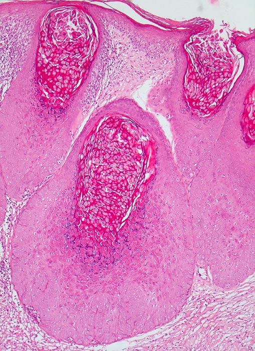
pit/ Molluscum contagiosum

Diagnose
Molluscum contagiosum
Diagnose Gruppe
Entzündung infektiös
Differenzialdiagnose
Topographie Gruppe
Haut
Topographie
Haut, Rumpf
Einleitung
In der Regel findet man im Ausstrich Detritus vermischt mit neutrophilen Granulozyten, ausgereifte und parakeratotische Plattenepithelien. Diagnostisch wegweisend sind die teils intra- teils extrazellulären, rundlichen bis ovalen Einschlusskörper. Die Kerne der befallenen Zellen sind kaum zu sehen. Wenn wie im vorliegenden Fall ausschliesslich Zellen mit Kerneinschlüssen vorhanden sind, kann der Befund als maligner Tumor fehlgedeutet werden. Die fehlende Chromatinstruktur der homogenen Einschlüsse führt in diesem Fall zur richtigen Diagnose.
Klinik
-
Normalbefund
Morphologie
Makroskopie
Virtuelles Präparat
Befund
Pathologischer Befund
Normalbefund
Literatur
Datum
Ersteintrag: 01.04.2003
Update: 01.04.2003