Wichtiger Sicherheitshinweis: Pathorama wurde zwischen dem 26. und 27. Dezember 2025 angegriffen. Falls Sie die Website in diesem Zeitraum besucht haben, lesen Sie bitte die wichtigen Informationen hier:
Zur Information

pit/ Strahleninduzierte Kernatypien

Diagnose
Strahleninduzierte Kernatypien
Diagnose Gruppe
Therapiefolgen
Differenzialdiagnose
Topographie Gruppe
Lunge, Mediastinum mit Thymus
Topographie
Transbronchiale FNP
Einleitung
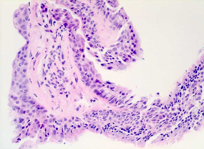
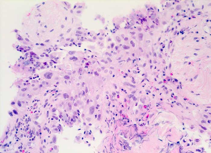
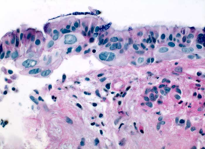
Nach Strahlentherapie eines mediastinalen Tumors oder eines Bronchuskarzinoms zeigen Bronchial- und Alveolarepithel ähnliche Kernveränderungen wie nach Zytostatikatherapie. Die Flimmerzellen haben unterschiedlich stark vergrösserte oft hyperchromatische und entrundete Kerne, sowie fragiles Zytoplasma. Der Nachweis von Flimmerhaaren und die erhaltene Kern-Zytoplasmarelation sprechen für reaktiv veränderte Bronchialepithelien.
Klinik
-
Normalbefund
Morphologie
Makroskopie
Virtuelles Präparat
Befund
Pathologischer Befund
Normalbefund
Literatur
Datum
Ersteintrag: 01.04.2003
Update: 01.04.2003