Wichtiger Sicherheitshinweis: Pathorama wurde zwischen dem 26. und 27. Dezember 2025 angegriffen. Falls Sie die Website in diesem Zeitraum besucht haben, lesen Sie bitte die wichtigen Informationen hier:
Zur Information

l/ Ki-67 / Mib-1

Diagnose
Ki-67 / Mib-1
Diagnose Gruppe
Differenzialdiagnose
Topographie Gruppe
Topographie
Einleitung
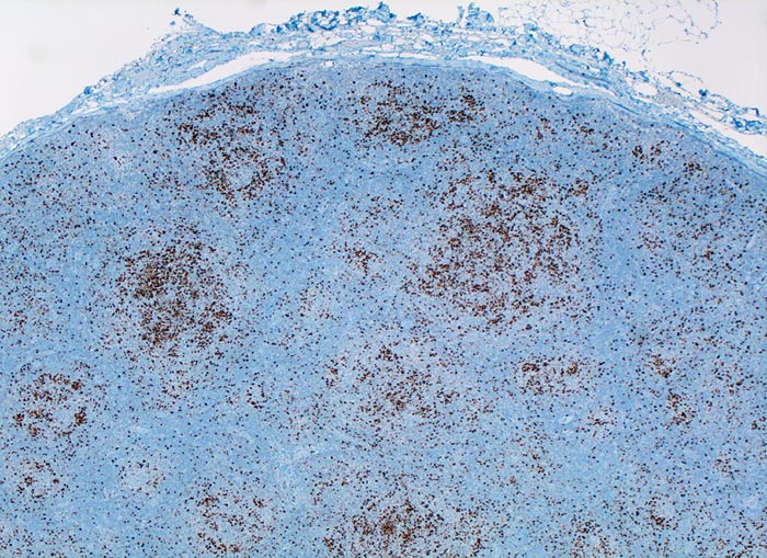
Ki-67/Mib-1
Anfärbung:
Zellkern nukleolär oder perinukleolär
Reaktion im Normalgewebe:
Ki-67 (am Gefrierschnitt) bzw. Mib-1 (Paraffinmaterial) werden von proliferierenden Zellen in der späten G1, S, G2 und M Phase exprimiert, aber nicht in der G0 Phase. Stark proliferierende Gewebe zeigen einen hohen Ki-67 Index z.B. Keimzentren von reaktiven Lymphfollikeln.
Reaktion in Neoplasien:
100% der Zellkerne in Burkitt Lymphomen sind positiv.
Diagnostischer Nutzen:
Der Ki-67 Index ist ein Prognoseindikator in vielen malignen Tumoren und hilft bei der Unterscheidung benigner von malignen Neoplasien.
Klinik
-
Normalbefund
Morphologie
Makroskopie
Virtuelles Präparat
Befund
Pathologischer Befund
Normalbefund
Literatur
Datum
Ersteintrag: 13.04.2003
Update: 13.04.2003