Wichtiger Sicherheitshinweis: Pathorama wurde zwischen dem 26. und 27. Dezember 2025 angegriffen. Falls Sie die Website in diesem Zeitraum besucht haben, lesen Sie bitte die wichtigen Informationen hier:
Zur Information

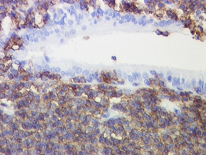
l/ CD20

Diagnose
CD20
Diagnose Gruppe
Differenzialdiagnose
Topographie Gruppe
Topographie
Einleitung
CD20
Anfärbung:
Zellmembran
Reaktion im Normalgewebe:
Pan B-Zell Marker positiv in allen B Lymphozyten, negativ in Plasmazellen.
Reaktion in Neoplasien:
Die meisten B-Zell Lymphome, etwa 50% der B Zell lymphoblastischen Lymphome und einige Myelome reagieren positiv.
Diagnostischer Nutzen:
Unterscheidung von reaktiven und neoplastischen Infiltraten zusammen mit CD3. Reaktive Infiltrate bestehen meist aus einem Gemisch von B und T Lymphozyten mit Überwiegen der T Lymphozyten. In B-Zell Lymphomen überwiegen CD20 positive B-Zellen.
Unterscheidung von B- und T-Zell Lymphomen.
Klinik
-
Normalbefund
Morphologie
Makroskopie
Virtuelles Präparat
Befund
Pathologischer Befund
Normalbefund
Literatur
Datum
Ersteintrag: 13.04.2003
Update: 13.04.2003