Wichtiger Sicherheitshinweis:
Pathorama wurde zwischen dem
26. und 27. Dezember 2025
angegriffen. Falls Sie die Website in diesem Zeitraum besucht haben, lesen Sie bitte die wichtigen Informationen hier:
Zur Information
Pathopic
HiPaKu
ZyPaKu
Projektinfos
PathoPic - Projekt- und Copyright-Info
About
Pathopic
HiPaKu
ZyPaKu
l/ HMB-45
Diagnose
HMB-45
Diagnose Gruppe
Differenzialdiagnose
Topographie Gruppe
Topographie
Einleitung
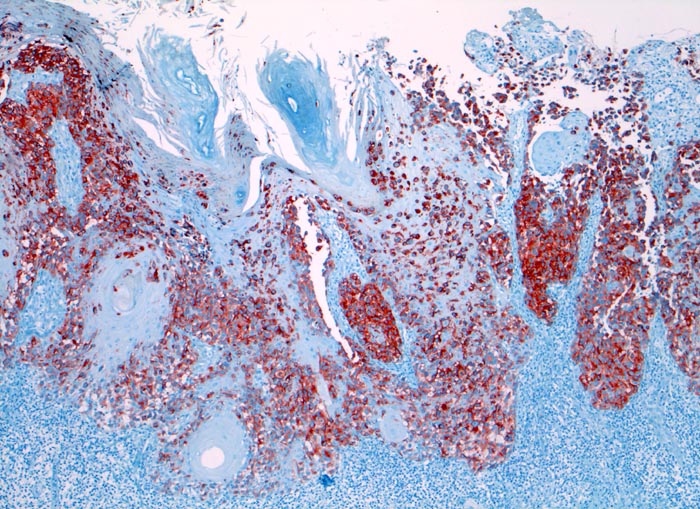
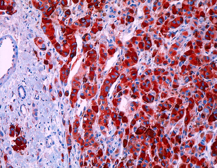
HMB-45
Anfärbung:
Zytoplasma
Reaktion im Normalgewebe:
Aktivierte Melanozyten und Naevi, Mammaepithel und Schweissdrüsenepithel.
Reaktion in Neoplasien:
HMB-45 wird in diversen melanozytären und nicht melanozytären Tumoren exprimiert:
Naevi (meist nur oberflächlich)
Malignes Melanom (90% Primärtumoren, 80% Rezidive und Metastasen, desmoplastische Variante meist negativ)
Angiomyolipom
Lymphangioleiomyomatose
Klarzelltumor der Lunge (Sugar tumor)
Einzelne Mammakarzinome, Speicheldrüsentumoren, Karzinome, multiple Myelome
Diagnostischer Nutzen:
Identifikation der verschiedenen HMB-45 positiven Tumoren.
Spezifität für maligne Melanome höher als S-100, aber niedrigere Sensitivität.
Klinik
-
Normalbefund
Morphologie
Makroskopie
Virtuelles Präparat
Befund
Pathologischer Befund
Normalbefund
Literatur
Datum
Ersteintrag: 13.04.2003
Update: 13.04.2003
CPS
·
©
2025 Institut für Pathologie Basel
/
Dr. med. Katharina Glatz-Krieger
.
·
v2.2