Wichtiger Sicherheitshinweis: Pathorama wurde zwischen dem 26. und 27. Dezember 2025 angegriffen. Falls Sie die Website in diesem Zeitraum besucht haben, lesen Sie bitte die wichtigen Informationen hier:
Zur Information

p/ Thymom (Typ A nach WHO)

Diagnose
Thymom (Typ A nach WHO)
Diagnose Gruppe
benigner Tumor
Differenzialdiagnose
Topographie Gruppe
Lymphatische Gewebe, KM, Milz
Topographie
Thymus
Einleitung
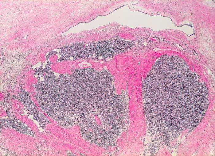
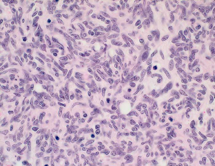
Der zytologische Befund von epithelialen Thymustumoren ist abhängig vom histologischen Subtyp. Die Einteilung der Thymome nach WHO umfasst die Typen A, AB, B1, B2, B3 und Typ C (Thymuskarzinom). Die Subtypen unterscheiden sich bezüglich Morphologie und Atypiegrad der epithelialen Zellen und in der Menge der beigemischten unreifen T Lymphozyten. Unten gezeigt wird ein Thymom vom Typ A (medulläres Thymom). Die Ausstriche enthalten bei diesem Subtyp monotone Spindelzellen mit feingranulierten Kernen ohne Atypien und nur wenige Lymphozyten. Ein Teil der Spindelzellen kann positiv sein für den B-Zell Marker CD20. Die unreifen T-Lymphozyten sind positiv für CD1a, CD99 und TdT.
Klinik
-
Normalbefund
Morphologie
Makroskopie
Virtuelles Präparat
Befund
Pathologischer Befund
Normalbefund
Literatur
Datum
Ersteintrag: 01.04.2003
Update: 01.04.2003