Wichtiger Sicherheitshinweis: Pathorama wurde zwischen dem 26. und 27. Dezember 2025 angegriffen. Falls Sie die Website in diesem Zeitraum besucht haben, lesen Sie bitte die wichtigen Informationen hier:
Zur Information

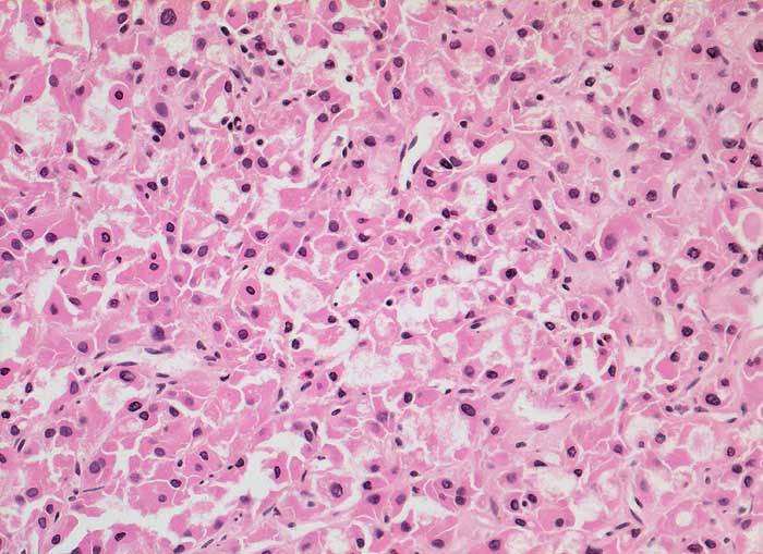
p/ Onkozytäres Schilddrüsenkarzinom

Diagnose
Onkozytäres Schilddrüsenkarzinom
Diagnose Gruppe
maligner Tumor
Differenzialdiagnose
Topographie Gruppe
Endokrinium
Topographie
Schilddrüse
Einleitung
Ausgeprägte Kernpolymorphie, Nukleolenatypie und unscharfe Zytoplasmagrenzen der oxyphilen Zellen sind Malignitätszeichen. Eine Unterscheidung von onkozytären Adenomen und Karzinomen ist zytologisch aber nicht sicher möglich.
Gezeigt werden zwei Fälle von histologisch gesicherten onkozytären Karzinomen.
Klinik
-
Normalbefund
Morphologie
Makroskopie
Virtuelles Präparat
Befund
Pathologischer Befund
Normalbefund
Literatur
Datum
Ersteintrag: 13.04.2003
Update: 13.04.2003