Wichtiger Sicherheitshinweis: Pathorama wurde zwischen dem 26. und 27. Dezember 2025 angegriffen. Falls Sie die Website in diesem Zeitraum besucht haben, lesen Sie bitte die wichtigen Informationen hier:
Zur Information

p/ Warthin Tumor

Diagnose
Warthin Tumor
Diagnose Gruppe
benigner Tumor
Differenzialdiagnose
Topographie Gruppe
Oesophagus, Magen
Topographie
Parotis
Einleitung
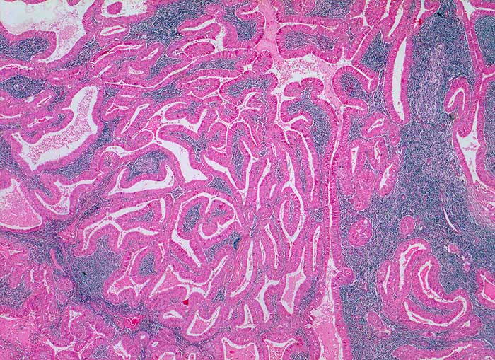
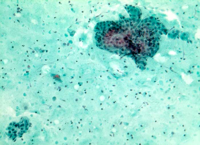
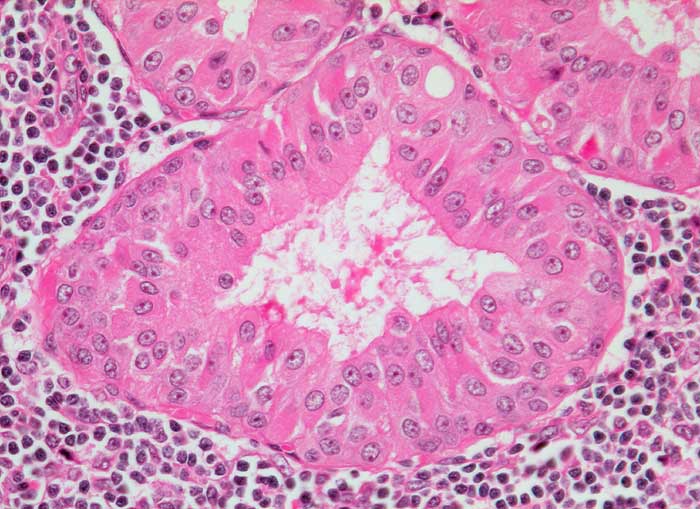
Der Warthin Tumor ist ein zystisch papillärer Tumor mit lymphoidem Stroma und einem zweischichtigen onkozytären Epithel. Schleim- oder Becherzellen und metaplastisches Plattenepithel können vorkommen. Die diagnostischen Zellen werden oftmals verdünnt durch den Zysteninhalt, was in einer falsch negativen Punktion resultieren kann. Im Idealfall enthält das Punktat Onkozyten und Lymphozyten auf granulär zystischem Hintergrund. Oftmals fehlen aber die Onkozyten. Differentialdiagnostisch muss man in solchen Fällen an eine lymphoepitheliale (oder branchiogene) Zyste denken. Onkozyten kommen bei einer Vielzahl anderer Parotisläsionen vor: onkozytäre Metaplasie oder Hyperplasie, Sjögren Syndrom, Onkozytom, Mucoepidermoidkarzinom, Adenokarzinom, adenoidzystisches Karzinom.
Klinik
-
Normalbefund
Morphologie
Makroskopie
Virtuelles Präparat
Befund
Pathologischer Befund
Normalbefund
Literatur
Datum
Ersteintrag: 13.04.2003
Update: 13.04.2003