Wichtiger Sicherheitshinweis: Pathorama wurde zwischen dem 26. und 27. Dezember 2025 angegriffen. Falls Sie die Website in diesem Zeitraum besucht haben, lesen Sie bitte die wichtigen Informationen hier:
Zur Information

n/ Gicht (Arthritis urica)

Diagnose
Gicht (Arthritis urica)
Diagnose Gruppe
Entzündung / Reparatur
Differenzialdiagnose
Topographie Gruppe
Körperhöhlen, Serosa
Topographie
Synovialis
Einleitung
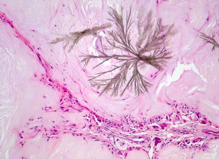
Es besteht eine neutrophilenreiche Entzündung. Die nadelförmigen Uratkristalle liegen oft in radiär geordneten Büscheln. Am besten sind sie im Nativ- und MGG Präparat erkennbar. Während der Pap-Färbung hingegen lösen sich die Kristalle auf.
Klinik
-
Normalbefund
Morphologie
Makroskopie
Virtuelles Präparat
Befund
Pathologischer Befund
Normalbefund
Literatur
Datum
Ersteintrag: 01.04.2003
Update: 01.04.2003