Wichtiger Sicherheitshinweis: Pathorama wurde zwischen dem 26. und 27. Dezember 2025 angegriffen. Falls Sie die Website in diesem Zeitraum besucht haben, lesen Sie bitte die wichtigen Informationen hier:
Zur Information

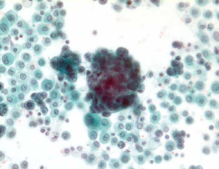
n/ Maligner Pleuraerguss: Kleinzelliges Karzinom

Diagnose
Maligner Pleuraerguss: Kleinzelliges Karzinom
Diagnose Gruppe
maligner Tumor
Differenzialdiagnose
Topographie Gruppe
Körperhöhlen, Serosa
Topographie
Pleuraerguss Zytologie
Einleitung
Kleinzellige Karzinome lassen sich am leichtesten bei schwächerer Vergrösserung erkennen, da sie meist kleine lockere Haufen hyperchromatischer Zellkerne bilden.
Klinik
-
Normalbefund
Morphologie
Makroskopie
Virtuelles Präparat
Befund
Pathologischer Befund
Normalbefund
Literatur
Datum
Ersteintrag: 01.04.2003
Update: 01.04.2003