Wichtiger Sicherheitshinweis: Pathorama wurde zwischen dem 26. und 27. Dezember 2025 angegriffen. Falls Sie die Website in diesem Zeitraum besucht haben, lesen Sie bitte die wichtigen Informationen hier:
Zur Information

g/ Nicht klassifizierbare Zylinderepithelien

Diagnose
Nicht klassifizierbare Zylinderepithelien
Diagnose Gruppe
Präneoplasie/ Atypie/ Dignität?
Differenzialdiagnose
Topographie Gruppe
Mamma
Topographie
Portio
Einleitung
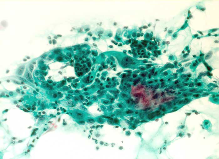
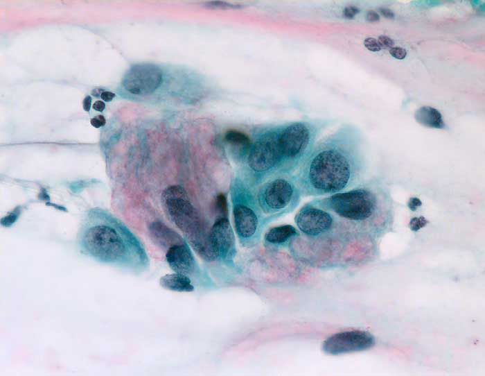
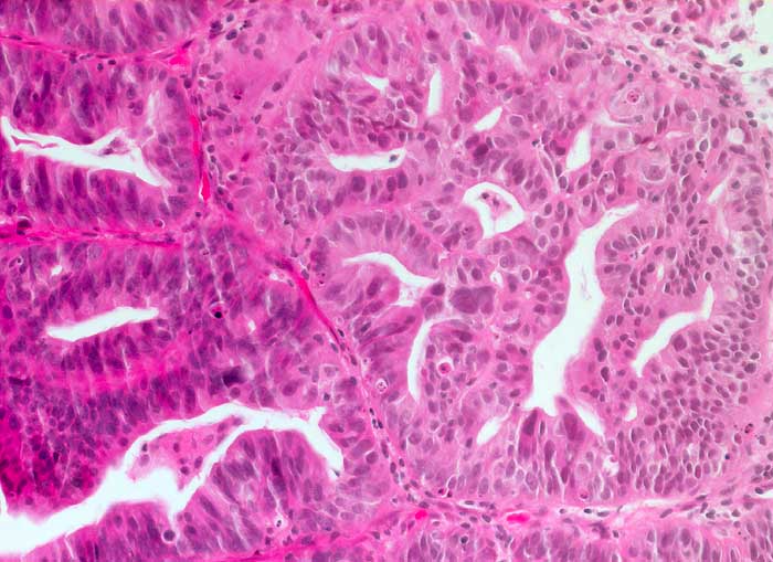
Hinter atypischen Zylinderepithelien kann sich sowohl eine reaktive als auch eine neoplastische Läsion verbergen. Reaktive Atypie, atypische glanduläre Hyperplasie, Adenocarcinoma in situ und Adenokarzinom können zytologisch nicht immer eindeutig unterschieden werden. Bei deutlichen Atypien und fehlender möglicher Ursache wie Intrauterinpessar, Gestageneinfluss oder chronischem Reizzustand empfiehlt sich eine histologische Abklärung.
Die obersten fünf Bilder zeigen Regenerationsepithel. Die folgenden vier Bilder zeigen chronisch gereiztes Zylinderepithel eines erodierten Zervixschleimhautpolypen. Die untersten drei Bilder zeigen ein endometrioides Adenokarzinom mit histologischer Korrelation.
Klinik
-
Normalbefund
Morphologie
Makroskopie
Virtuelles Präparat
Befund
Pathologischer Befund
Normalbefund
Literatur
Datum
Ersteintrag: 01.04.2003
Update: 01.04.2003