Wichtiger Sicherheitshinweis: Pathorama wurde zwischen dem 26. und 27. Dezember 2025 angegriffen. Falls Sie die Website in diesem Zeitraum besucht haben, lesen Sie bitte die wichtigen Informationen hier:
Zur Information

g/ Vulväre intraepitheliale Neoplasie VIN

Diagnose
Vulväre intraepitheliale Neoplasie VIN
Diagnose Gruppe
Präneoplasie/ Atypie/ Dignität?
Differenzialdiagnose
Topographie Gruppe
Mamma
Topographie
Vulva
Einleitung
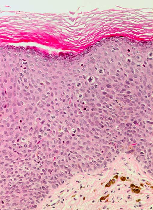
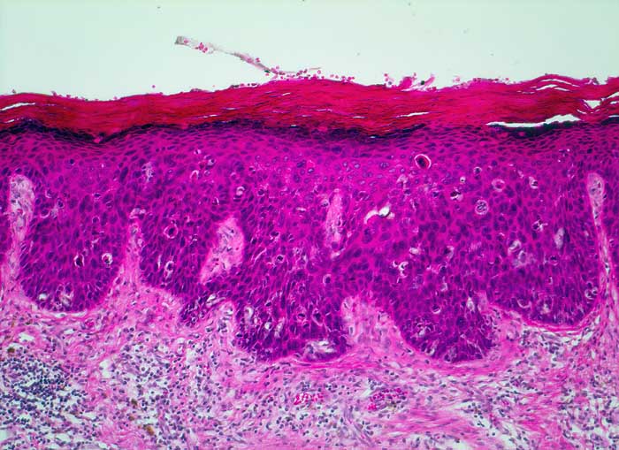
Ein normaler Abstrich von der Vulva enthält keine kernhaltigen Zellen. Für die Diagnose der vulvären intraepidermalen Neoplasie entscheidend ist der Nachweis von atypischen Dyskeratosezellen. Die Dyskeratozyten stammen aus den oberen Schichten der Epidermis. Die Kerne sind geschrumpft und hyperchromatisch. Die Chromatinstruktur ist kaum zu erkennen und für die Diagnose nicht relevant. Kernvergrösserung, Zunahme der Kern-Plasma Relation und Polymorphie der Zellen nehmen parallel zum Schweregrad der Dysplasie zu. Im zytologischen Abstrich erscheint die VIN um einen Grad harmloser als auf dem histologischen Schnitt, da der Abstrich nur die Zellen der obersten Hautschichten enthält.
Klinik
-
Normalbefund
Morphologie
Makroskopie
Virtuelles Präparat
Befund
Pathologischer Befund
Normalbefund
Literatur
Datum
Ersteintrag: 12.04.2003
Update: 12.04.2003