Wichtiger Sicherheitshinweis: Pathorama wurde zwischen dem 26. und 27. Dezember 2025 angegriffen. Falls Sie die Website in diesem Zeitraum besucht haben, lesen Sie bitte die wichtigen Informationen hier:
Zur Information

g/ Muzinöses Zystadenom des Ovars

Diagnose
Muzinöses Zystadenom des Ovars
Diagnose Gruppe
benigner Tumor
Differenzialdiagnose
Topographie Gruppe
Mamma
Topographie
Ovar
Einleitung
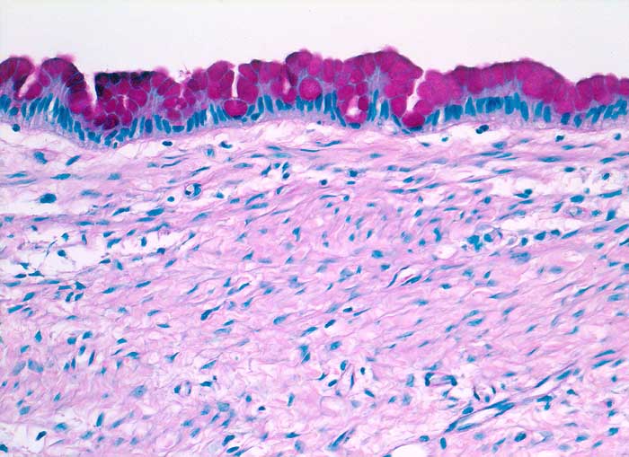
Die gut erkennbaren Zellgrenzen der hohen schlanken Zylinderzellen bilden bei Aufsicht ein Honigwabenmuster. Das Zytoplasma enthält eine grössere oder mehrere kleine apikale Schleimvakuolen, die den Zellkern zur Seite drängen. Das Chromatin ist fein granulär und regelmässig verteilt. Der Nachweis von Schleimbildung schliesst eine funktionelle Zyste aus. Metastasen von schleimbildenden Adenokarzinomen zeigen eine stärkere Kernpolymorphie und bilden keine regelmässigen Verbände.
Klinik
-
Normalbefund
Morphologie
Makroskopie
Virtuelles Präparat
Befund
Pathologischer Befund
Normalbefund
Literatur
Datum
Ersteintrag: 01.04.2003
Update: 21.08.2025