Wichtiger Sicherheitshinweis: Pathorama wurde zwischen dem 26. und 27. Dezember 2025 angegriffen. Falls Sie die Website in diesem Zeitraum besucht haben, lesen Sie bitte die wichtigen Informationen hier:
Zur Information

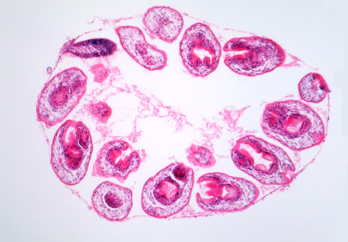
Basel 2BA/ Echinococcus granulosus Zyste der Lunge

Diagnose
Echinococcus granulosus Zyste der Lunge
Diagnose Gruppe
Entzündung infektiös
Differenzialdiagnose
Topographie Gruppe
Lunge, Mediastinum mit Thymus
Topographie
Lunge
Einleitung
Aetiologie:
Die Echinokokkose ist eine Zoonose, die in Europa durch die Larven zweier Bandwurmarten, des Hundebandwurms (Echinococcus granulosus/zystische Echinokokkose) und des Fuchsbandwurms (Echinococcus multilocularis/alveolaris (> 3610)) verursacht wird. Hauptendwirt der beiden bei uns existierenden Echinokokkosearten ist jeweils ein Fleischfresser, wobei entgegen der Nomenklatur bei beiden Subtypen jeweils verschiedene Hauptendwirte möglich sind (z.B. Hund oder Katze als Endwirt für den Fuchsbandwurm).

Verlauf:
Per os nimmt der Mensch als Zwischen-Fehlwirt (oder Rind, Schaf, Pferd, Schwein als Zwischenwirt) die in der Umwelt extrem widerstandsfähigen Wurmeier auf. Die aus den Eiern im Darm freiwerdenden primären Larven (Onkosphären) durchdringen die Darmwand und gelangen lymphogen und hämatogen in andere Organe. Am häufigsten sind Leber, Lunge, Milz und Hirn betroffen. Dort entwickeln sich beim Hundebandwurm grosse Zysten (Metazestoden, zystisches Larvenstadium), die mit Flüssigkeit und nekrotischem Gewebe gefüllt sind. Nach etwa 6 Monaten entsteht in den Metazestoden durch Knospung weitere Metazestoden sowie das nächste Larvenstadium (Protoskolizes/ Kopfanlagen). Nimmt z.B. ein Hund die Hydatiden durch Fressen larvenhaltiger Organe auf, entwickeln sich in ihm die adulten Bandwürmer. Beim Fuchsbandwurm ist die Entwicklung analog wie beim Hundebandwurm mit dem Unterschied, dass die neugebildeten Metazestoden deutlich kleiner sind und sich im Gegensatz zum Hundebandwurm nicht in der vorbestehenden Zyste bilden (verdrängendes Wachstum), sondern durch die Wandschichten der Zyste invasiv ins umgebende Wirtsgewebe ausbreiten. Deshalb zeigt sich beim Fuchsbandwurm unbehandelt ein schlechter klinischer Verlauf.

update 2. September 2022 
Klinik
Symptomatik:
Die Symptomatik wird durch die Lokalisation der Larvengewebe und durch das raumfordernde Wachstum bestimmt. Bei Leberbefall bestehen Inappetenz, Müdigkeit, Oberbauchschmerzen, Hepatomegalie, Ikterus, Cholelithiasis-ähnliche Beschwerden, eingeschränkte Zwerchfellbeweglichkeit, Magenausgangsstenose und portale Hypertension. Der Lungenbefall ist meist asymptomatisch. Gelegentlich bestehen eine Hämoptoe, ein Hydrothorax, ein Spontanpneumothorax oder Lungenrundherde. Das Platzen von Hydatiden kann eine allergische Reaktion mit Schock und eine miliare Aussaat der Larven verursachen.
 
Diagnostik:
Im Frühstadium der Infektion ist die Diagnose sehr schwierig. Raumfordernde Prozesse können mit bildgebenden Verfahren festgestellt werden. Gelegentlich lassen sich in den Zysten Verkalkungen nachweisen. Manchmal besteht eine Bluteosinophilie, die selten über 15% liegt. Eine Zystenpunktion (therapeutisch oder diagnostisch) ist unter Umständen und bei gegeber Indikation möglich, sie ist jedoch nur unter Schutz durchzuführen (neoadjuvante und adjuvante Albendazolgabe mit oder ohne Praziquantel/Zystenspülung mit hypertoner NaCL-Lösung). Der direkte Parasitennachweis gelingt bei aufgeplatzten Lungenzysten durch den Nachweis von Haken der Echinokokkenlarven im Sputum. In den meisten Fällen kann die Diagnose bei positiver Serologie in Zusammenschau mit der Bildgebung eindeutig gestellt werden.

Therapie: 
Insbesondere beim Fuchsbandwurm ist die Therapie der Wahl die operative Entfernung des parasitären Gewebes, wobei ein Platzen der Zysten unbedingt vermieden werden muss. Bei inoperablen Fällen oder bei miliarer Aussaat ist eine Chemotherapie mit Anthelminthika (Albendazol/Mebendazol) indiziert, im Falle des Fuchsbandwurmes lebenslang. Je nach Grösse der Läsion kann der Hundebandwurm mit Anthelminthika kurativ behandelt werden. Beim Fuchsbandwurm zeigt sich jedoch ausschliesslich eine parasitostatische Wirkung.  

Prognose:
Die alveoläre Echinokokkose führt unbehandelt in den allermeisten Fällen zum Tode, während die zystische Echinokokkose je nach Lokalisation des Parasiten meist gut behandelbar oder selbstlimitierend ist (Mortalität 2-4%).

update 2. September 2022

Morphologie
Morphologische Merkmale: 
  • Septierte Zyste im Lungengewebe. 
  • Begrenzung aus kompaktem Bindegewebe zum Lungenparenchym (Wirtsreaktion). 
  • Echinococcuszyste bestehend aus äusserer lamellärer Kutikula und innerer Keimschicht. 
  • Brutkapseln mit Scolices im Zystenlumen. Das sollte der Kliniker dem Pathologen mitteilen: 
  • Verdachtsdiagnose (das Material ist infektiös!) 
Makroskopie
Befund
Pathologischer Befund
Normalbefund
Datum
Ersteintrag: 15.03.2019
Update: 26.07.2022